/ Наши работы

Реальные результаты работ до/после в нашей стоматологии, которой доверяют семьями

Здесь вы найдете результаты лечения прикуса, реставраций, имплантации, отбеливания и комплексной стоматологической реабилитации. Каждый пример — подтверждение профессионализма нашей команды

Работы до после в стоматологии Дент-Арт, имплантация
Лечение кариеса в Луганске, стоматология Дент-Арт
Чистка зубов в Луганске, в стоматологии Дент-Арт
Профессиональное лечение зубов в Луганске, стоматология Дент-Арт
Протезирование зубов в Луганске
Лечение кариеса в стоматологии Дент-Арт
Имплантация зубов в стоматологии Дент-Арт
Лечение зубов в стоматологии Дент-Арт
Протезирование зубов в Луганске
Имплантация в стоматологии Дент-Арт
Лечение корневых каналов в стоматологии Дент-Арт
Исплантация зубов в Луганске
( Наши работы )

Примеры работ, подтверждающих высокий уровень наших врачей

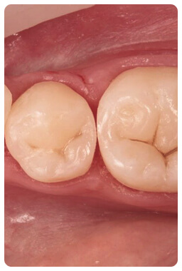
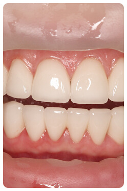
( Лечение кариеса )
Работу выполнила: Оробинская Юлия Андреевна
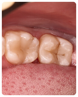
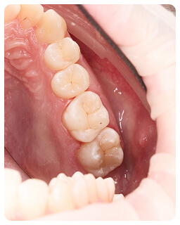
( Лечение кариеса )
Работу выполнила: Оробинская Юлия Андреевна
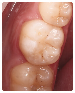
( Лечение кариеса )
Работу выполнила: Оробинская Юлия Андреевна
( Лечение кариеса )
Работу выполнила: Оробинская Юлия Андреевна
( Лечение кариеса )
Работу выполнила: Телятникова Дарья Владиславовна 
( Лечение кариеса )
Работу выполнила: Телятникова Дарья Владиславовна 
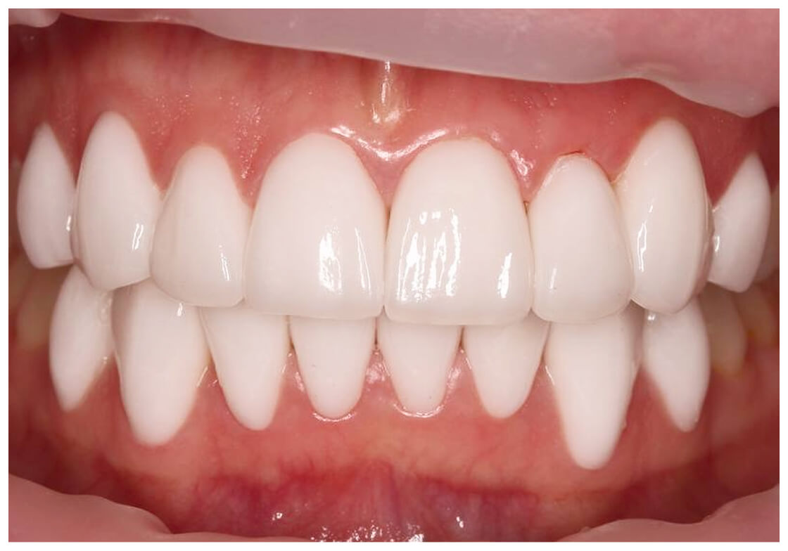
( Протезирование )
Работу выполнил: Кудрявцев Артем Анатольевич
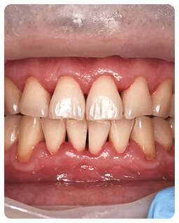
( Протезирование )
Работу выполнил: Германович Виталий Федорович
( Протезирование )
Работу выполнил: Телятников Владислав Яковлевич
( Протезирование )
Работу выполнил: Телятников Владислав Яковлевич 
( Врачи )
Врачи, которые создают здоровые и красивые улыбки
( Более 10 лет опыта )
Валерия Валерьевна
Врач - стоматолог-ортодонт.
Руденко
Подробнее о враче
( Более 25 лет опыта )
Виталий Федорович
Врач - стоматолог-терапевт.
Германович
Подробнее о враче
( Более 10 лет опыта )
Маргарита Тимофеевна
Врач - стоматолог-терапевт.
Тахтомышева
Подробнее о враче
( Более 5 лет опыта )
Юлия Андреевна
Врач-стоматолог общей практики.
Оробинская
Подробнее о враче
( Более 5 лет опыта )
Дарья Владиславовна
Врач-стоматолог общей практики.
Телятникова
Подробнее о враче
( Более 20 лет опыта )
Артем Анатольевич
Врач-стоматолог-хирург, ортопед.
Кудрявцев
Подробнее о враче
( Более 30 лет опыта )
Владислав Яковлевич
Главный врач высшей категории, врач-стоматолог-ортопед.
Телятников
Подробнее о враче
Забота о вашей улыбке начинается с консультации
Оставьте заявку, и наш администратор подберет удобное время для записи. Мы обеспечиваем комфорт, внимание и бережный подход для всей семьи.
( Отзывы )
Опыт тех, кто уже доверил нам свою улыбку
( Электронная почта )
( Контакты )
Мы всегда рядом
вс: выходной
сб: 9:00-15:00
( График работы )
пн-пт: 9:00-17:00
( Номер телефона )
ЛНР, г. Луганск, ул. Советская 147
Адрес: